코뼈골절, 코뼈골절수술, 코뼈골절증상, 코뼈골절치료, 코수술, 코성형 더웰병원
코뼈골절
코뼈 골절 시 가장 중요한것은 골든 타임입니다 골절된 코뼈와 함께 코라인 교정까지!

the Rhinoplasty clinic
코뼈골절
코 뼈 골절의 경우 초기의 치료가 굉장히 중요합니다. 적절한 치료 없이 방치하게 되면 코막힘, 비중격만곡증, 휜 코가 될 가능성이
높습니다. 코는 얼굴의 가장 돌출된 부위입니다. 코 위쪽은 단단한 뼈로 이루어져 있으나,
코 아래쪽은 부드러운 연골로 되어있기 때문에 외부 충격에 쉽게 골절될 수 있습니다.


-
수술시간
약 30분 내외
-
마취방법
전신 마취
-
입원여부
2박 3일
-
실밥제거
-
-
내원치료
2~3회
-
회복기간
퇴원 후 일상생활 가능
the Rhinoplasty clinic
코뼈골절 치료시기를 놓치지 말아야 합니다
코뼈골절 골든타임을 놓치게 된다면 코의 외부·내부 구조가 변형되어
그 상태로 점점 뼈가 붙어갑니다. 코뼈 골절의 골든타임은 3 ~ 10일 입니다
-
- 외부 구조의 변형
- 휜코
- 매부리코
- +
-
- 내부 구조의 변형
- 비중격만곡증
- 비밸브협착증
- 점막유착
- 코막힘

더웰병원코뼈골절 FAQ
더웰병원 코수술
더웰병원 코수술에서는 환자분들의 코회복과 동시에 만족감을 위해 최선을 다합니다
-

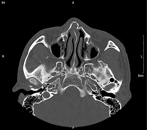
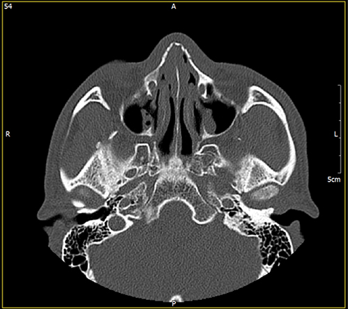
정확한 분석을 위한
체계적 진단골절의 원인을 CT를 통해
정확하고 입체적으로 분석 후
세밀한 상담으로 원인 분석 -

1:1 맞춤
수술 계획과 진행코와 얼굴의 전체적인 균형과
조화를 고려하여 개개인에 맞는
디자인과 수술을 진행합니다 -

코 뼈 골절 교정과
코성형 동시에 진행코 뼈 골절로 인한 코의 뒤틀림
뿐아니라 얼굴에 알맞은
코 성형을 동시에 진행합니다 -

빠른 회복을 위한
전담 관리팀 운영1:1 맞춤 전담 관리팀이
환자의 개인의 상태에 따라
회복을 도와드립니다.
더웰병원 코수술
더웰병원 코수술에서는 환자분들의 코회복과 동시에 만족감을 위해 최선을 다합니다
the Rhinoplasty clinic
더웰 듀얼맞춤 코수술
-
휜코교정
코가 휘어있다면 개인에 맞춘 코라인으로 수술
-
비중격만곡증
비중격 수술 시 나온 연골로 코성형 가능
-
코막힘/ 비염
이비인후과 전문의의 비염 수술과 함께
성형외과 전문의 코성형 진행 -
코재수술
1차 코 수술 실패의 원인을 분석하여 체계적 수술
-
코 뼈 골절
골절로 인한 교정부터 코라인 수술까지 한번에!
WHY Thewell?
더웰병원에서는 환자의 안전과 만족감을 최우선으로 생각하여 진료와 수술을 진행합니다
the Rhinoplasty clinic
더웰병원 협진코성형
회원로그인
접속자집계
- 오늘
- 117
- 어제
- 1,402
- 최대
- 5,138
- 전체
- 1,560,613

031.8006.4310






















